COMPLEX

Marble spleen disease of ring-necked pheasants (slide study set no. 17) Item Info

Item from a series of AAAP records containing slide study sets which consist of slides and their accompanying texts. The slide study sets mainly cover poultry diseases and their diagnosis, but also include other topics such as biotechnology in avian medicine and careers in avian medicine.
Select to view full item
View on Timeline
Title:
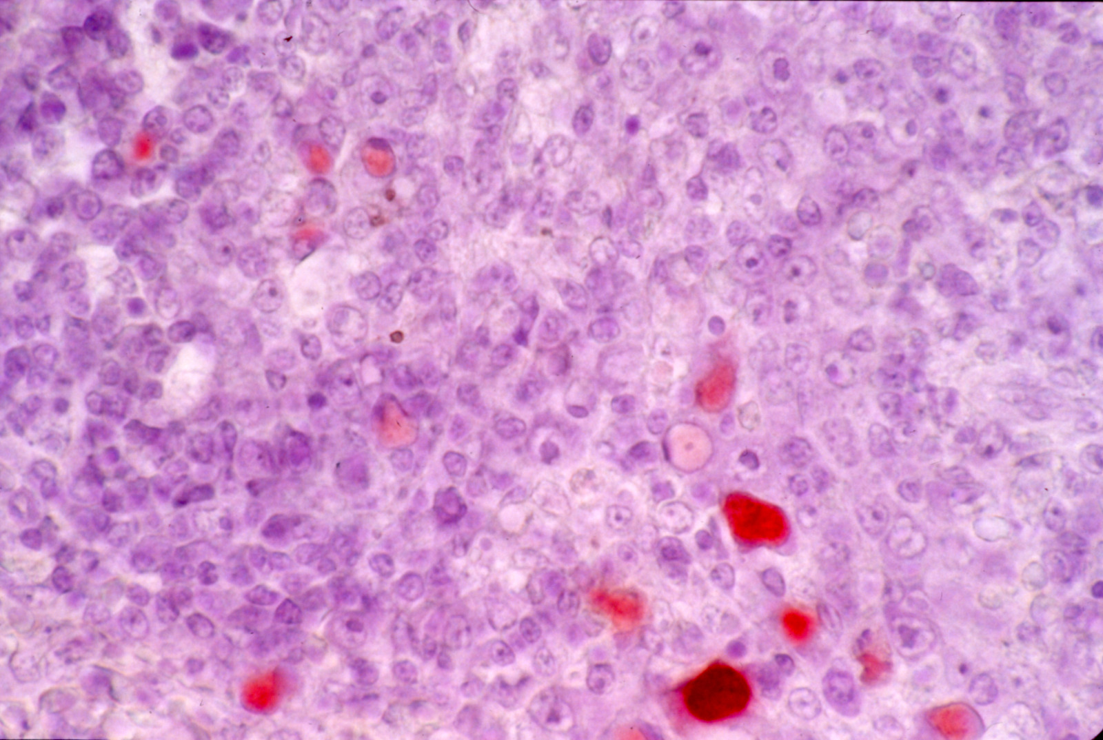
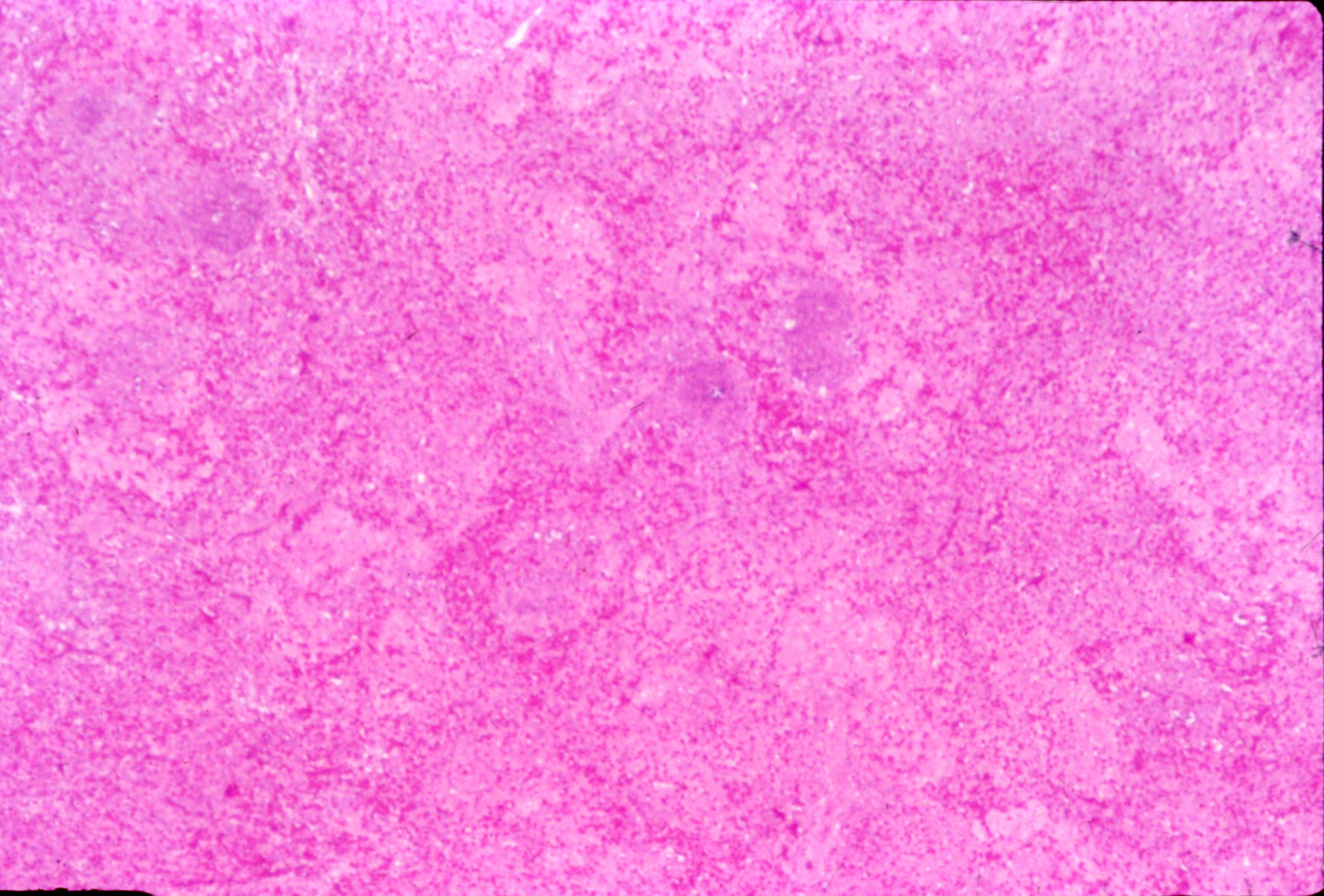
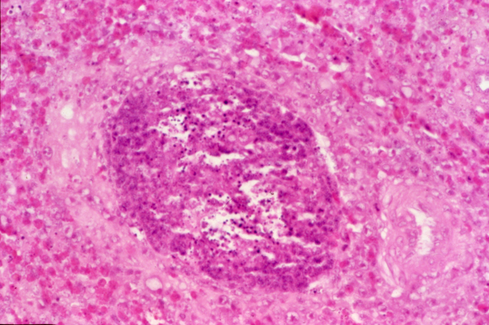
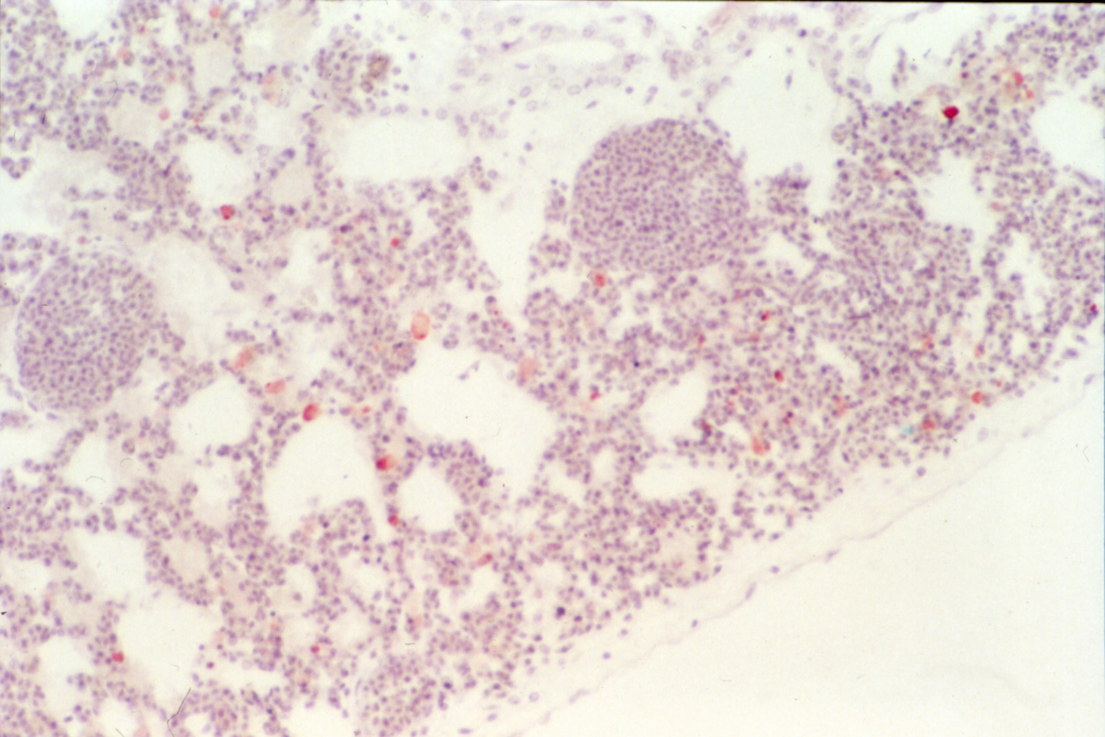
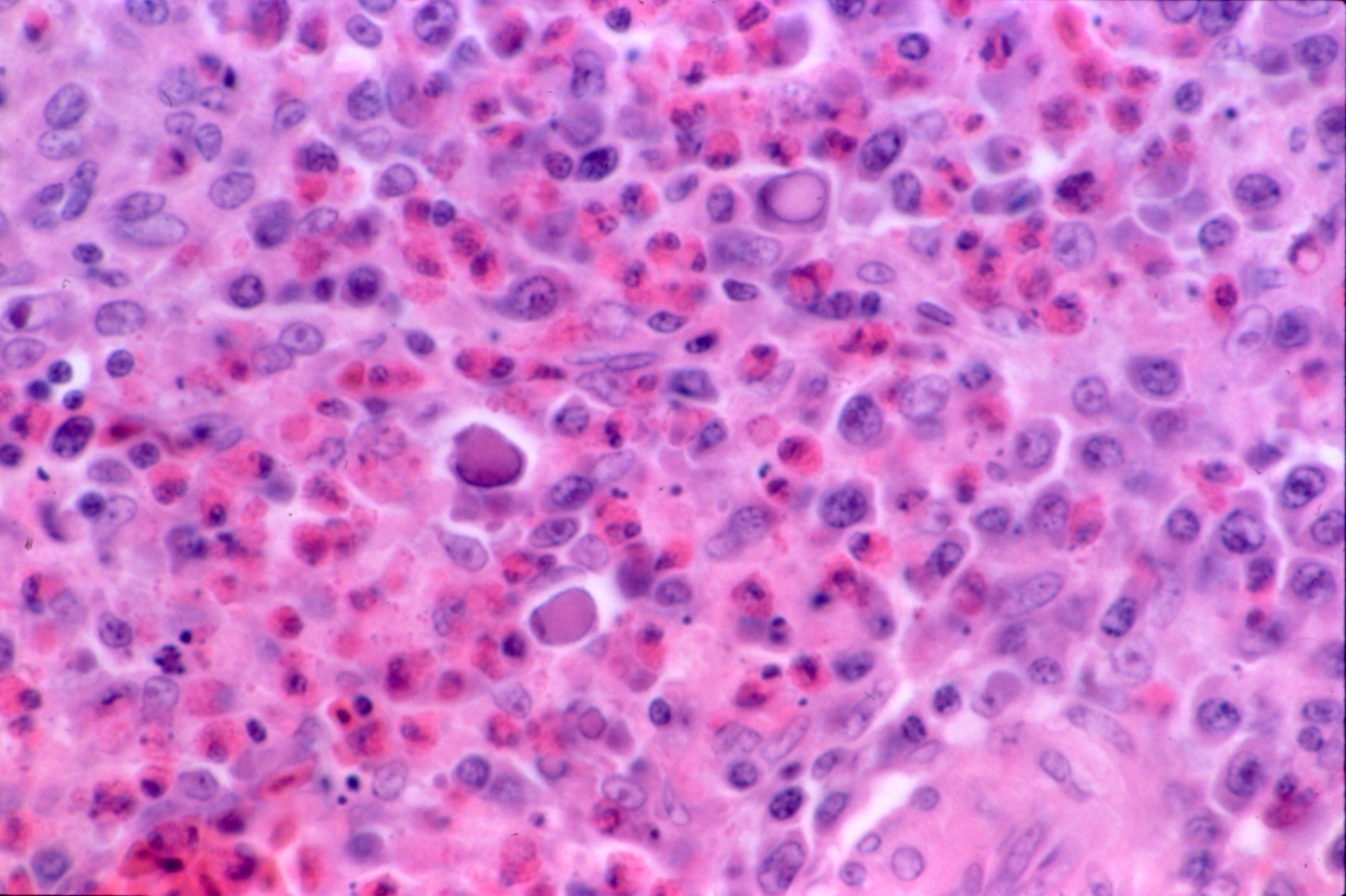
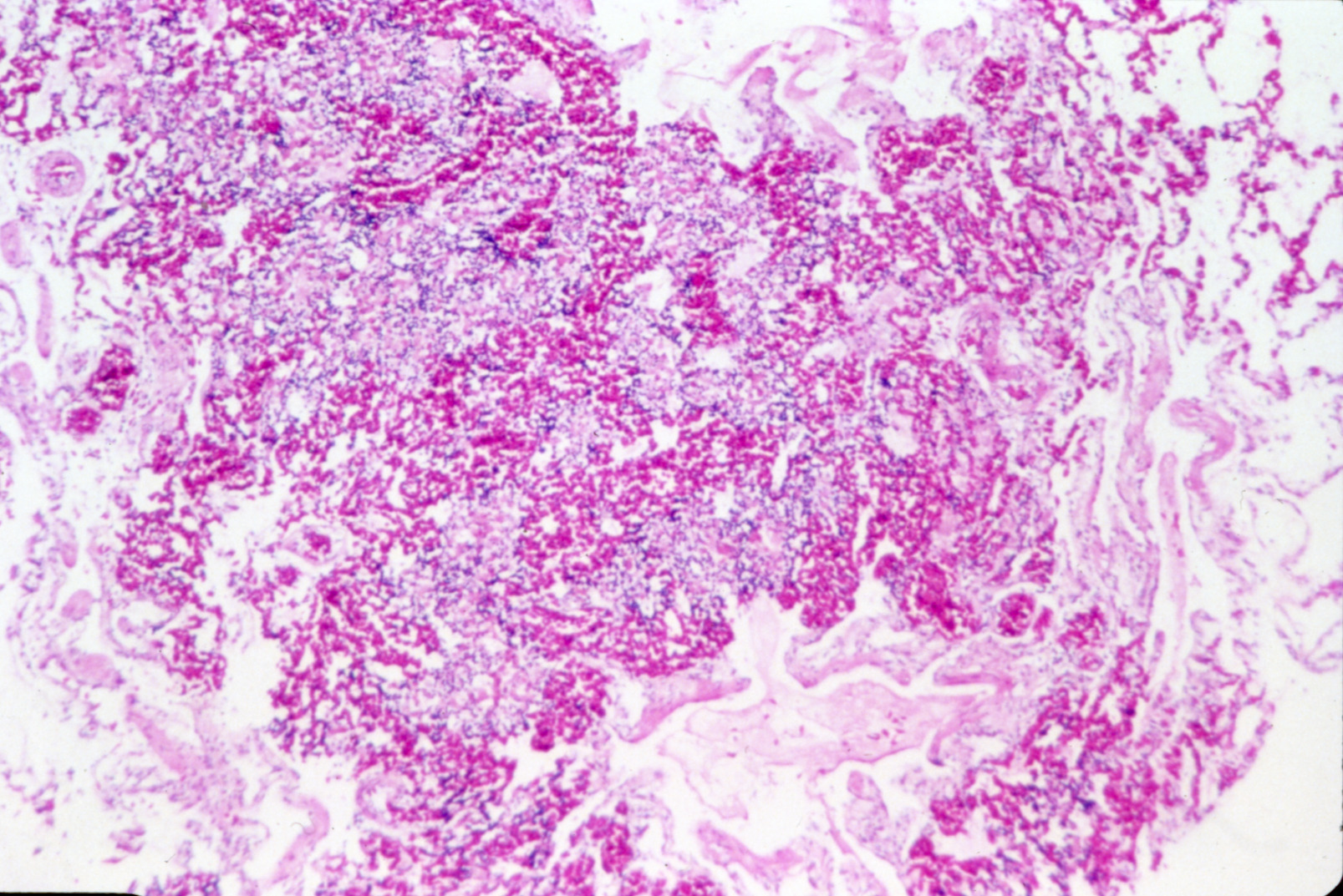
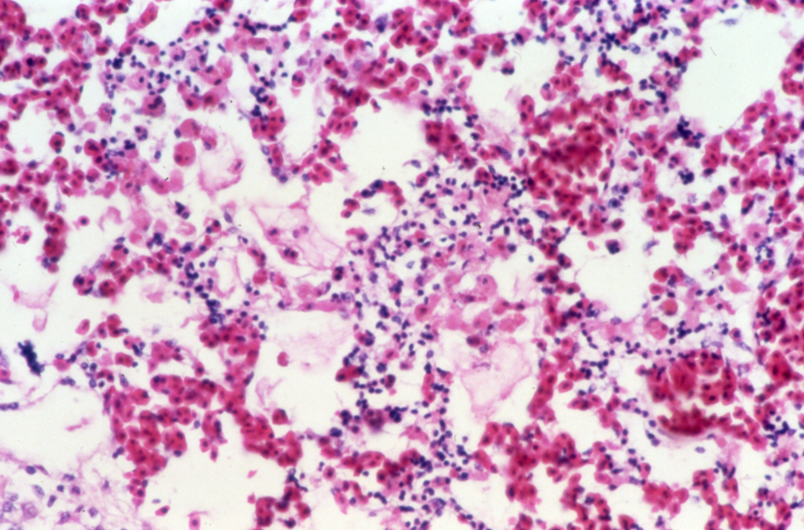
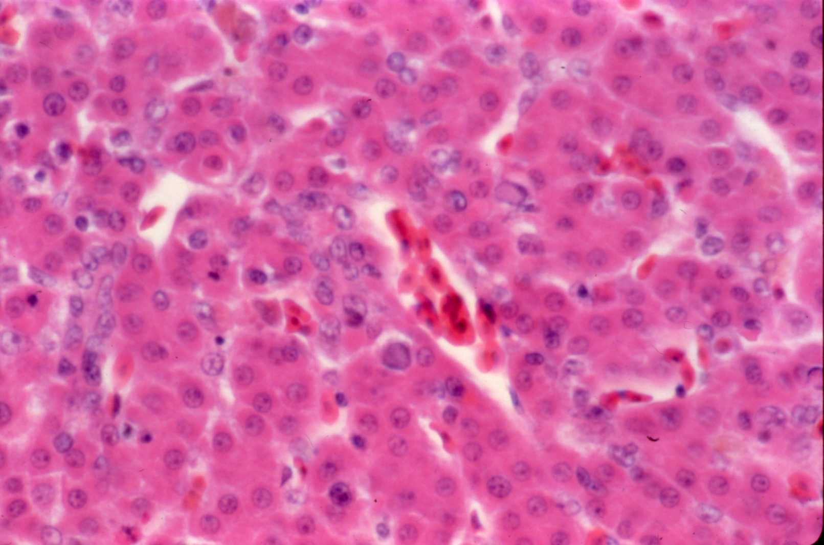
Marble spleen disease of ring-necked pheasants (slide study set no. 17)
Creator (Organization):
American Association of Avian Pathologists
Date Created:
1992
Time Period:
1990s
Description:
Item from a series of AAAP records containing slide study sets which consist of slides and their accompanying texts. The slide study sets mainly cover poultry diseases and their diagnosis, but also include other topics such as biotechnology in avian medicine and careers in avian medicine.
Subject (Topic):
Poultry--Diseases Spleen--Diseases Ring-necked pheasant
Location:
Indiana--West Lafayette
Language:
eng
Source:
American Association of Avian Pathologists records
Call Number:
MS 430
Archival Series:
Series 11, Continuing Education Programs, 1961-2002, undated
Box:
60
Folder Title:
Slide Study Set #17, Marble Spleen Disease of Ring-Necked Pheasants (includes 20 color slides), 1992
Folder Number:
3
Finding Aid Permalink:
https://n2t.net/ark:/87292/w9sj33
Contributing Institution:
Iowa State University. Special Collections and University Archives
Publisher:
Iowa State University. Library
Extent:
20 slides
Genre:
color slides
Type:
Image
Format:
image/jpeg
Digital Collection Title:
American Association of Avian Pathologists collection
Digital Collection Permalink:
https://n2t.net/ark:/87292/w9wm13t2x
Identifier:
aaapb60f3i2
Item Permalink:
https://n2t.net/ark:/87292/w9j09w94d

The Iowa State University Library is committed to creating a welcoming digital environment for all learners. Certain material, particularly older materials, handwritten documents, and visual content, present unique challenges in providing more accessible resources. Please contact us if you need support accessing or using this archived content.

Contact us about this record
Source
Preferred Citation:
"Marble spleen disease of ring-necked pheasants (slide study set no. 17)", American Association of Avian Pathologists Collection, Iowa State University Library Digital Collections
Reference Link:
https://n2t.net/ark:/87292/w9j09w94d
Rights
Rights:
To the extent that the donor owns copyright, copyright has been retained by the donor. The donor has granted to Iowa State University and the State of Iowa a limited license to grant publication rights. Copyright in some items in this collection may be held by their respective creators. It is the responsibility of the user to make a final determination of copyright status and conduct their own due diligence regarding their intended use of the material(s) and to identify any permissions required. The user is responsible for obtaining permission from the rights-holder(s) for uses not otherwise permitted by law or regulation.
Standardized Rights: