COMPLEX

Inclusion body hepatitis of chickens (slide study set no. 2) Item Info

Item from a series of AAAP records containing slide study sets which consist of slides and their accompanying texts. The slide study sets mainly cover poultry diseases and their diagnosis, but also include other topics such as biotechnology in avian medicine and careers in avian medicine.
Select to view full item
View on Timeline
Title:
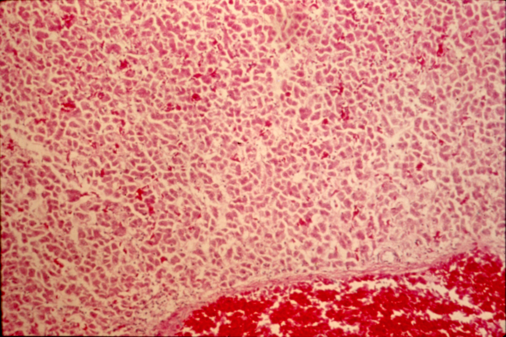
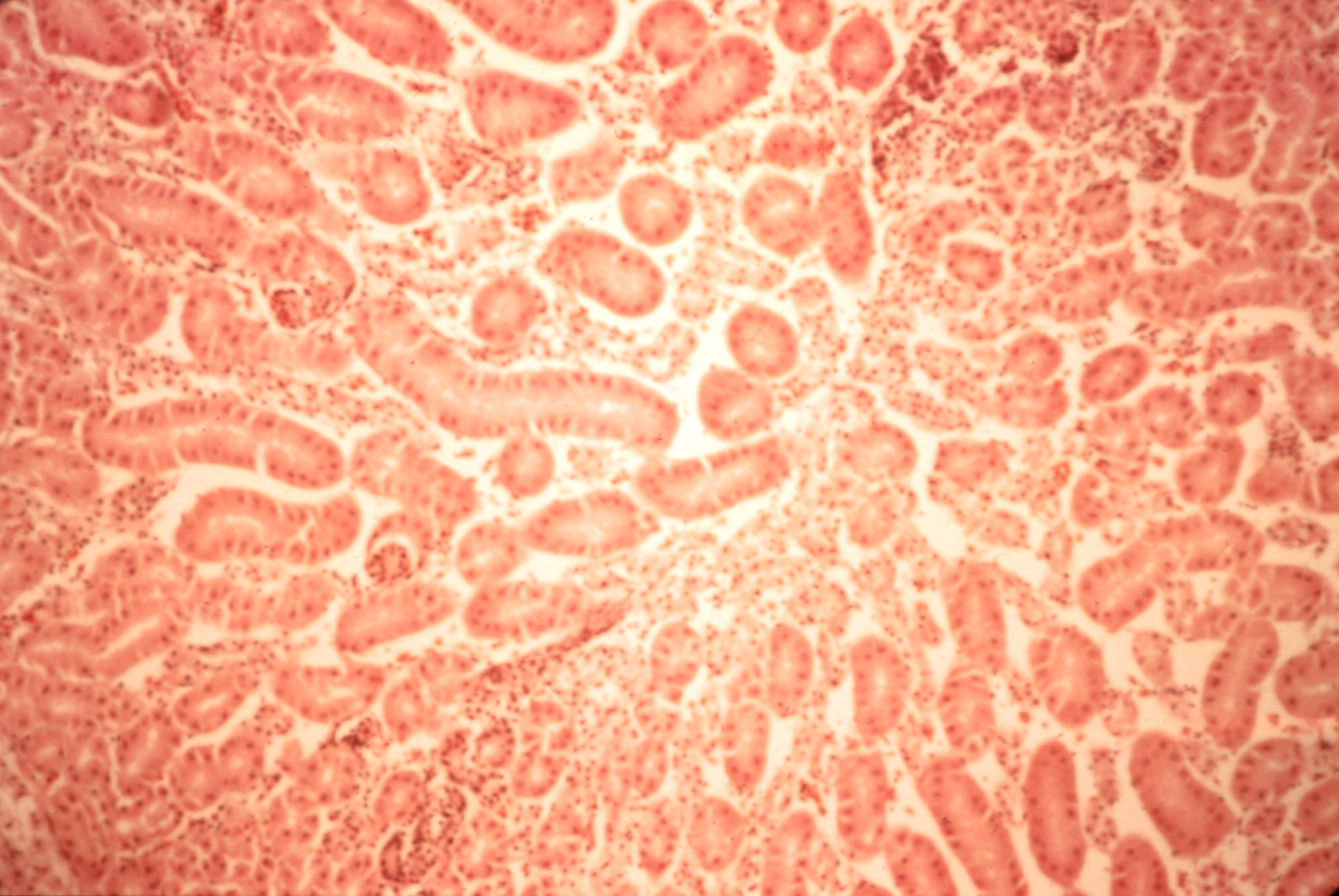
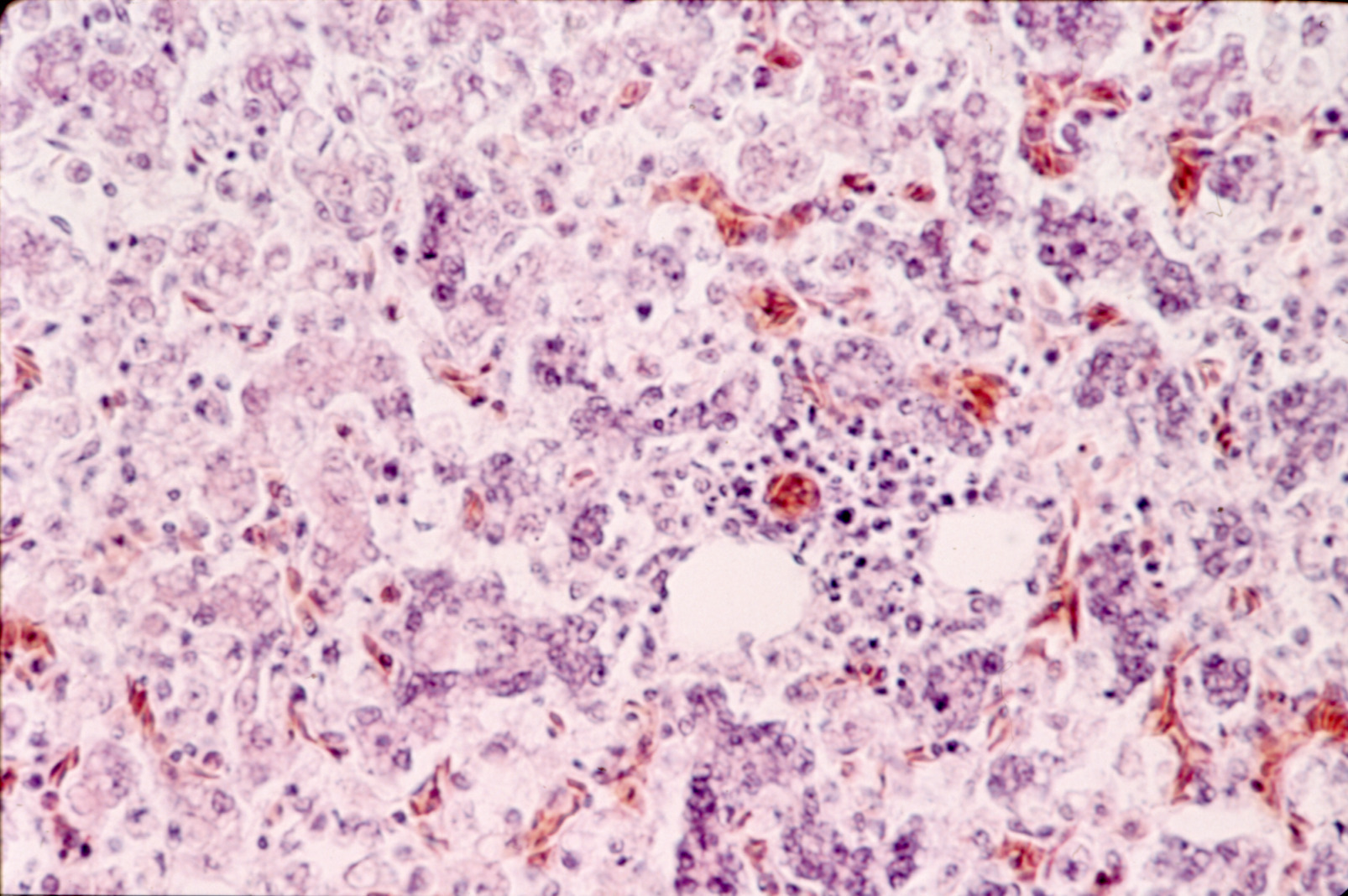
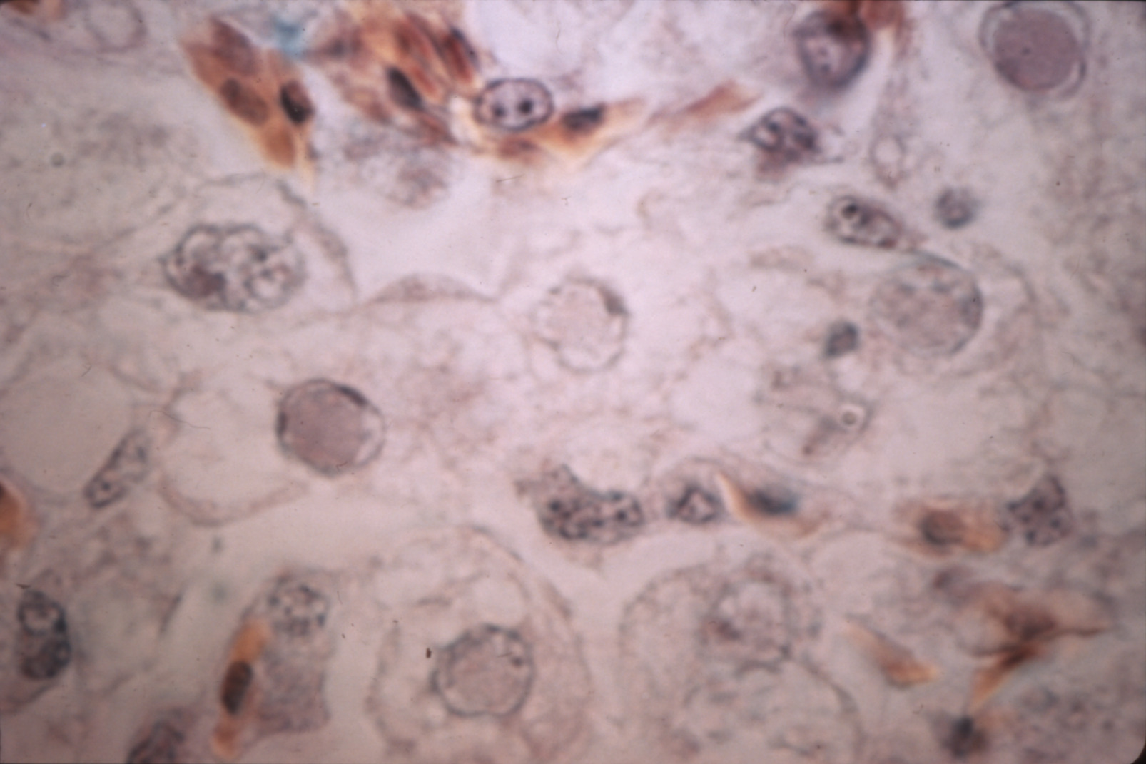
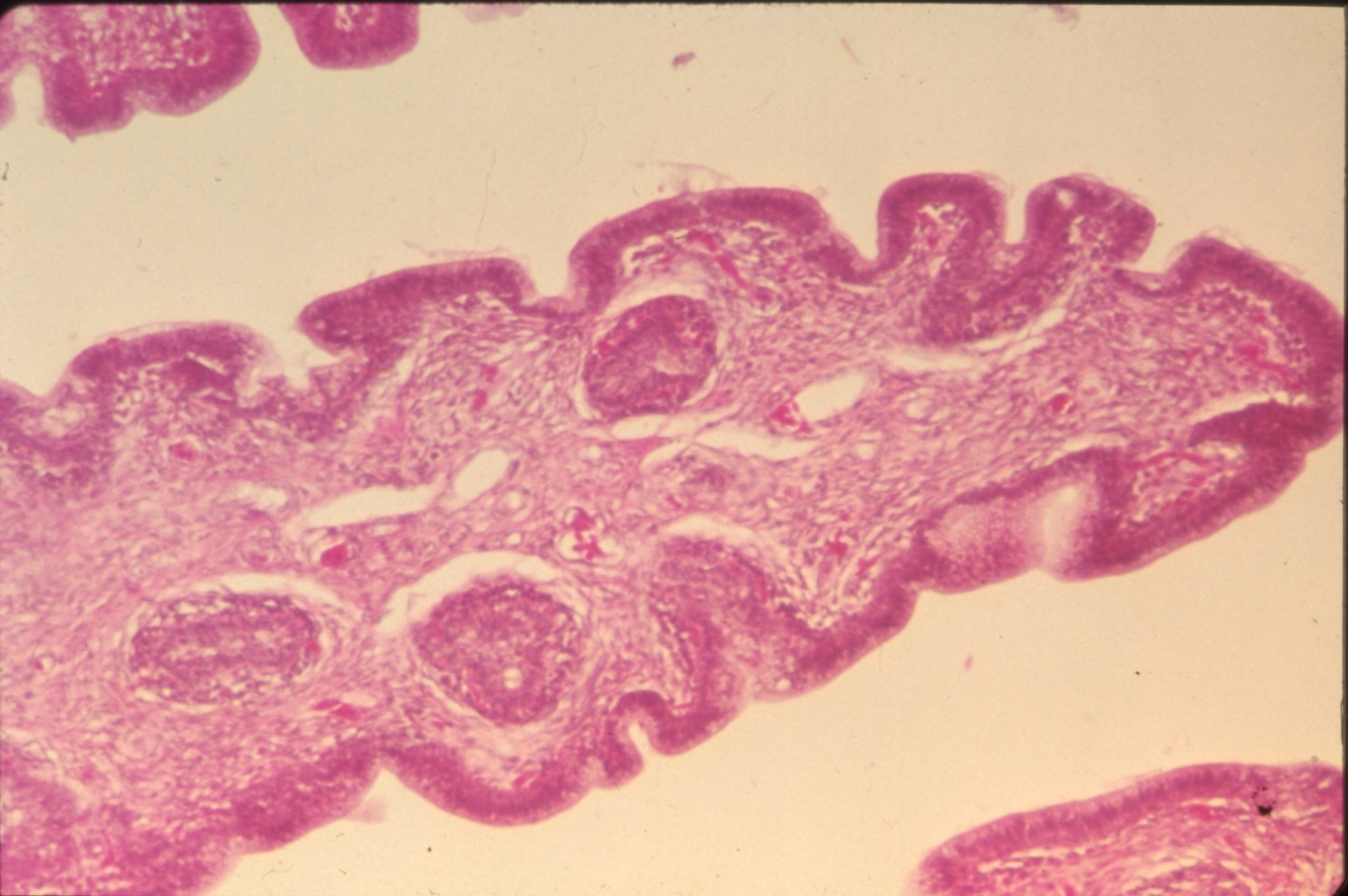
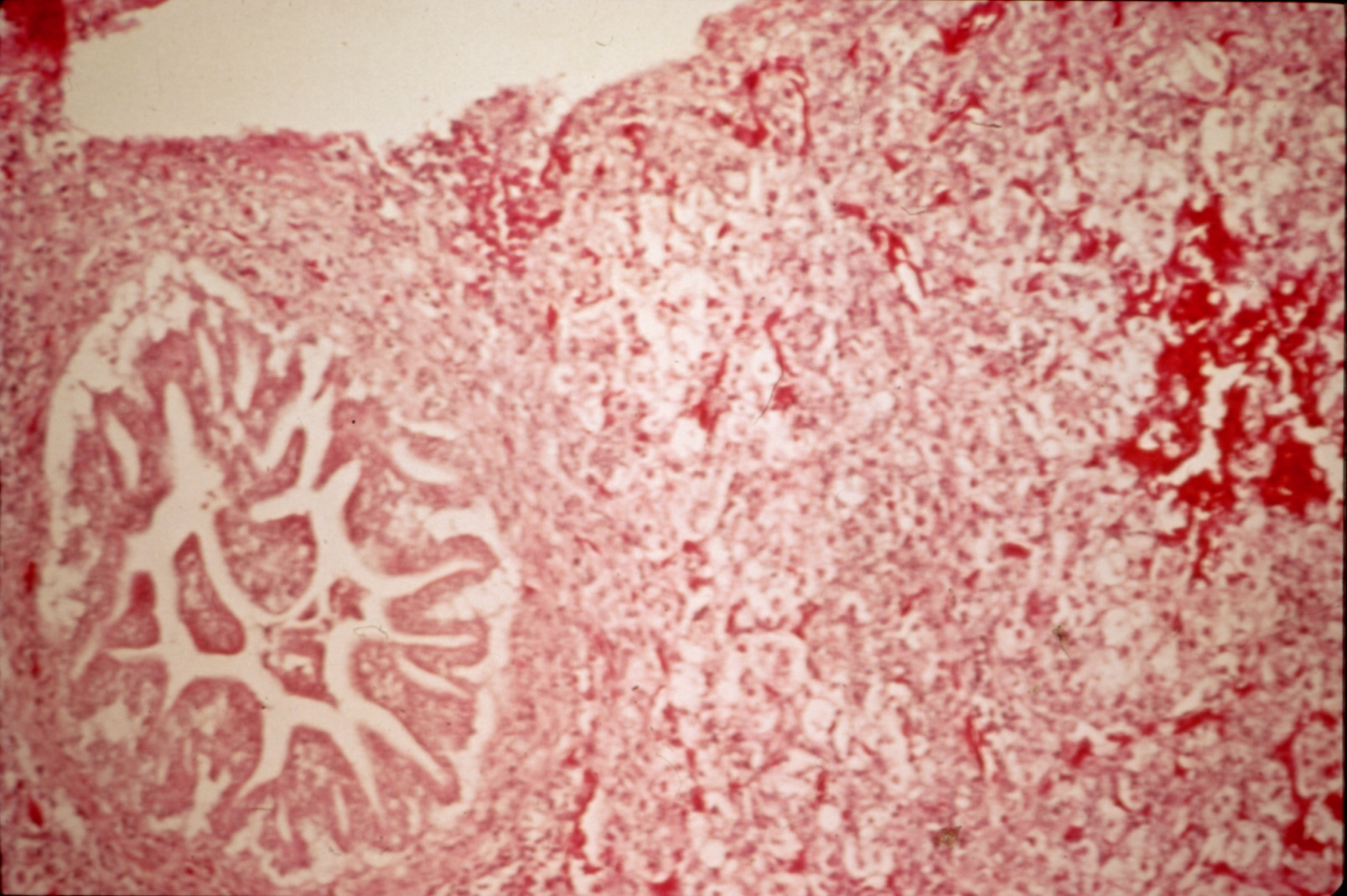
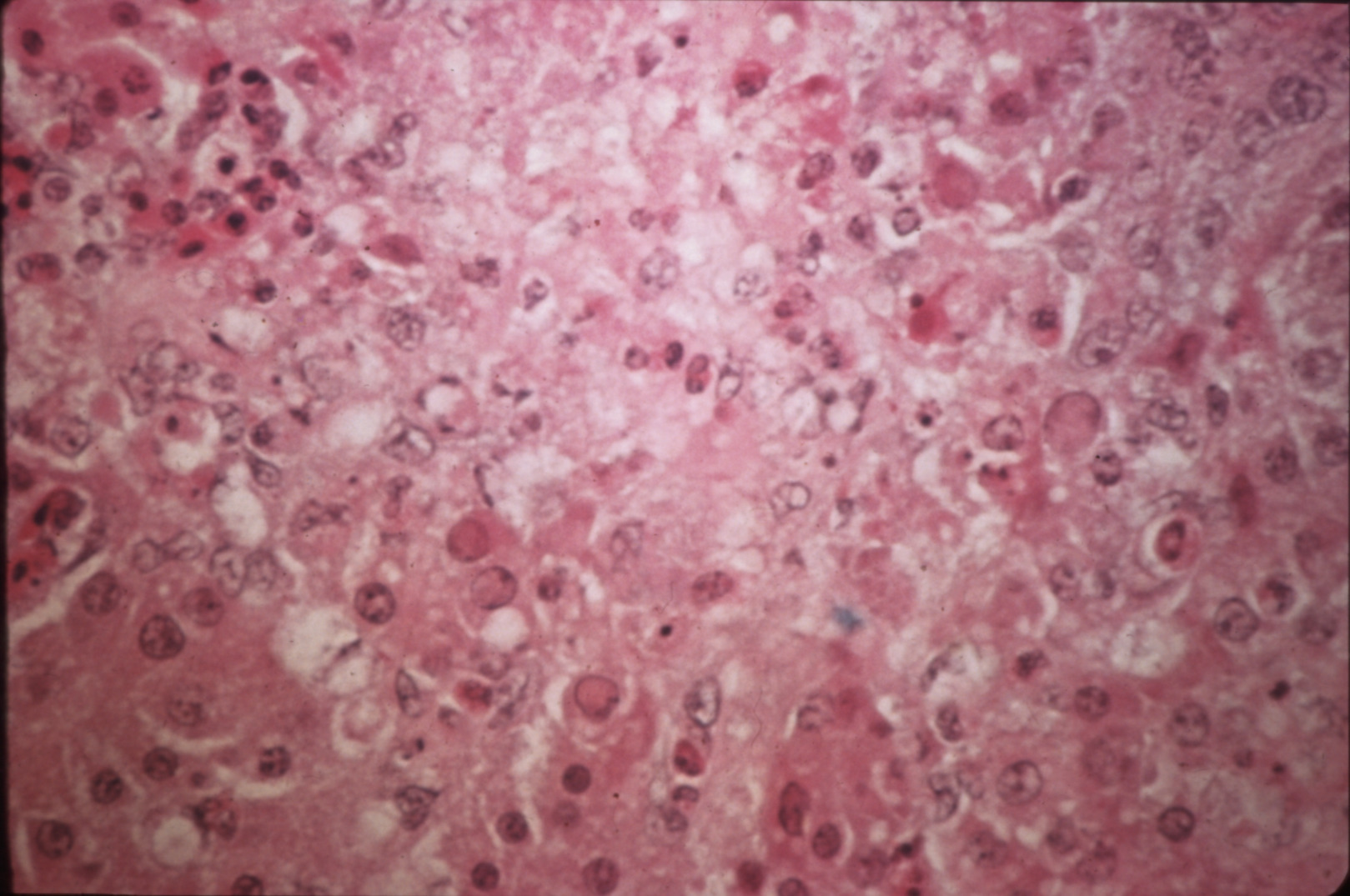
Inclusion body hepatitis of chickens (slide study set no. 2)
Creator (Organization):
American Association of Avian Pathologists
Date Created:
1973
Time Period:
1970s
Description:
Item from a series of AAAP records containing slide study sets which consist of slides and their accompanying texts. The slide study sets mainly cover poultry diseases and their diagnosis, but also include other topics such as biotechnology in avian medicine and careers in avian medicine.
Subject (Topic):
Avian medicine Chickens--Diseases Hepatitis, Viral
Location:
Indiana--West Lafayette Pennsylvania--Kennett Square
Language:
eng
Source:
American Association of Avian Pathologists records
Call Number:
MS 430
Archival Series:
Series 11, Continuing Education Programs, 1961-2002, undated
Box:
41
Folder Title:
Slide Study Set #2, Inclusion Body Hepatitis, 2 sets (includes 44 color slides), 1973
Folder Number:
2
Finding Aid Permalink:
https://n2t.net/ark:/87292/w9sj33
Contributing Institution:
Iowa State University. Special Collections and University Archives
Publisher:
Iowa State University. Library
Extent:
22 slides
Genre:
color slides
Type:
Image
Format:
image/jpeg
Digital Collection Title:
American Association of Avian Pathologists collection
Digital Collection Permalink:
https://n2t.net/ark:/87292/w9wm13t2x
Identifier:
aaapb41f2i2
Item Permalink:
https://n2t.net/ark:/87292/w91j97d57

The Iowa State University Library is committed to creating a welcoming digital environment for all learners. Certain material, particularly older materials, handwritten documents, and visual content, present unique challenges in providing more accessible resources. Please contact us if you need support accessing or using this archived content.

Contact us about this record
Source
Preferred Citation:
"Inclusion body hepatitis of chickens (slide study set no. 2)", American Association of Avian Pathologists Collection, Iowa State University Library Digital Collections
Reference Link:
https://n2t.net/ark:/87292/w91j97d57
Rights
Rights:
To the extent that the donor owns copyright, copyright has been retained by the donor. The donor has granted to Iowa State University and the State of Iowa a limited license to grant publication rights. Copyright in some items in this collection may be held by their respective creators. It is the responsibility of the user to make a final determination of copyright status and conduct their own due diligence regarding their intended use of the material(s) and to identify any permissions required. The user is responsible for obtaining permission from the rights-holder(s) for uses not otherwise permitted by law or regulation.
Standardized Rights: